Përfitimet e lojës me kukulla, pse mund të jetë e mirë...
Fëmijët kanë një nevojë thelbësore për të tkurrur botën e madhe, të zhurmshme, kaotike që ne jetojmë në një madhësi të menaxhueshme, në mënyrë...
Pas stuhisë diellore, “mrekulli” në qiell: Aurora borealis mbi disa vende...
Aurora boreale ndriçuan mbrëmjen e djeshme qiellin në një pjesë të kontinentit europian, duke krijuar skena mahnitëse që rrallë shihen në këto zona të...
Ledjona i thyen vezën në kokë Romeos, agravon debati! Ilnisa: Mirë...
Ishte i papritur reagimi i Ledjonës sot në BBVIP, e cila i theu një vezë në kokë Romeos.Romeo nuk e priti aspak mirë, ndërsa...
“Me menaxherin s’kam folur që kur dola nga BBV3”, Bardhi thyen...
Bardhi ka qenë i ftua në Fan Club ku ka folur për situatat e fundit që kanë ndodhur pas daljes së tij nga BBV3.Ai...
“M’u bë burri shok me…”/ Bëhet më serioze lidhja e Bardhit...
Mesa duket lidhja e Bardhit dhe Sarës po avancon çdo ditë dhe më shumë.Nëse disa ditë më parë Bardhi e prezantoi Sarën me familjen...
Muzika Techno, në UNESCO! Lindi në klubet e Berlinit pas ribashkimit...
Gjatë viteve 1980 skena e klubeve të Berlinit u zhvillua në një nga bërthamat kryesore të subkulturës tekno të asaj kohe në botë.Zhanri i...
Incidenti me Eglën/ Erjola çohet nga stoli mes lotësh, Juli u...
Erjola u shfaq totalisht e dëshpëruar pas incidentit ku Egla i përplasi në tokë, duke i thyer pjatën me tortë që kishte bërë për...
Sara Gjordeni zbulon gjendjen shëndetësore të nënës së Bardhit: Jam rrugës...
Sara Gjordeni, që duket sikur ka “një luftë të ftohtë“ me menaxherin e Bardhit, Jetmir Agajn, në një lidhje telefonike në Big Brother Radio,...
“Ndryshove në sjellje”/ Vazhdon diskutimi mes Heidit dhe Romeos: Ti më...
Nuk ka qetësi për Heidin dhe Romeon teksa edhe sot kanë vijuar me diskutime mes njëri-tjetrit.Debati është fokusuar sërish te distanca e tyre që...
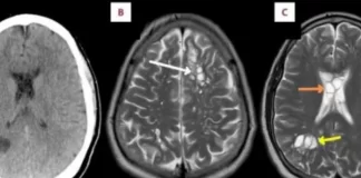
Ankohej nga dhimbja e kokës së vazhdueshme, mjekët i gjejnë vezë...
Një burrë në Florida që vuante nga migrena e vazhdueshme iu tha se kishte vezë krimbi në trurin e tij.Pacienti 52-vjeçar kërkoi ndihmë mjekësore...































